Kayseri'de bir şahsın mide ve bağırsaklarından uyuşturucu çıktı
Kayseri'de bir şahsın mide ve bağırsaklarından uyuşturucu çıktı
Kayseri'de jandarma ekipleri tarafından düzenlenen operasyonda kente mide ve bağırsaklarında uyuşturucu madde sokmaya çalışan 3 şüpheli yakalandı.
Haber Giriş Tarihi: 11.06.2025 22:42
Haber Güncellenme Tarihi: 11.06.2025 23:23
Kaynak:
İHA
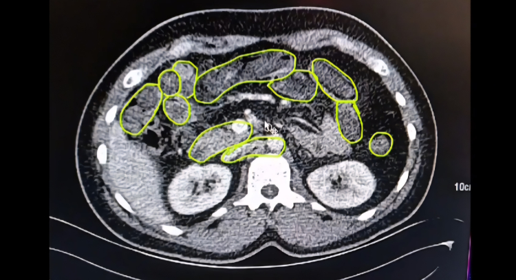
Edinilen bilgiye göre, İl Jandarma Komutanlığı ekipleri tarafından yapılan çalışmalarda, yabancı uyruklu A.O., M.S. ve P.S.'nin İran'dan temin ettikleri uyuşturucu maddeleri ağızdan yutmak suretiyle mide ve bağırsaklarında gizleyerek kente getireceklerini tespit etti. Şahısların bulunduğu aracı takibe alan ekipler Ankara yolunda aracı durdurdu. Şahıslar gözaltına alınırken, yapılan üst ve eşya aramalarında 20 gram uyuşturucu madde ve 117 adet uyuşturucu hap ele geçirildi.
Şüphelilerin Kayseri Şehir Hastanesinde iç beden muayenesine alınırken, mide ve bağırsaklarında da çok miktarda kapsül şeklinde uyuşturucu olduğu değerlendirilen yabancı maddeler tespit edildi.
Kayseri Valisi Gökmen Çiçek de jandarma ekiplerini kutlayarak, "Kayseri İl Jandarma Komutanlığımız, gençlerimizi zehirlemek isteyen alçaklara yine fırsat vermedi, vermeyecek. Şehrimize uyuşturucu sokmak isteyen alçaklar, Başsavcılığımızın koordinesinde jandarmamızın titiz takibiyle ellerindeki uyuşturucu ile kıskıvrak yakalandı. Ellerinde yakalanan uyuşturucuyu midelerinde de getirmeye çalıştılar. Her yolu deniyorlar. Hangi yolu denerseniz deneyin kaçamayacaksınız, başaramayacaksınız. Bu şehirde uyuşturucu satamayacaksınız" dedi.
Sizlere daha iyi hizmet sunabilmek adına sitemizde çerez konumlandırmaktayız. Kişisel verileriniz, KVKK ve GDPR
kapsamında toplanıp işlenir. Sitemizi kullanarak, çerezleri kullanmamızı kabul etmiş olacaksınız.
En son gelişmelerden anında haberdar olmak için 'İZİN VER' butonuna tıklayınız.
Kayseri'de bir şahsın mide ve bağırsaklarından uyuşturucu çıktı
Kayseri'de jandarma ekipleri tarafından düzenlenen operasyonda kente mide ve bağırsaklarında uyuşturucu madde sokmaya çalışan 3 şüpheli yakalandı.
Edinilen bilgiye göre, İl Jandarma Komutanlığı ekipleri tarafından yapılan çalışmalarda, yabancı uyruklu A.O., M.S. ve P.S.'nin İran'dan temin ettikleri uyuşturucu maddeleri ağızdan yutmak suretiyle mide ve bağırsaklarında gizleyerek kente getireceklerini tespit etti. Şahısların bulunduğu aracı takibe alan ekipler Ankara yolunda aracı durdurdu. Şahıslar gözaltına alınırken, yapılan üst ve eşya aramalarında 20 gram uyuşturucu madde ve 117 adet uyuşturucu hap ele geçirildi.
Şüphelilerin Kayseri Şehir Hastanesinde iç beden muayenesine alınırken, mide ve bağırsaklarında da çok miktarda kapsül şeklinde uyuşturucu olduğu değerlendirilen yabancı maddeler tespit edildi.
Kayseri Valisi Gökmen Çiçek de jandarma ekiplerini kutlayarak, "Kayseri İl Jandarma Komutanlığımız, gençlerimizi zehirlemek isteyen alçaklara yine fırsat vermedi, vermeyecek. Şehrimize uyuşturucu sokmak isteyen alçaklar, Başsavcılığımızın koordinesinde jandarmamızın titiz takibiyle ellerindeki uyuşturucu ile kıskıvrak yakalandı. Ellerinde yakalanan uyuşturucuyu midelerinde de getirmeye çalıştılar. Her yolu deniyorlar. Hangi yolu denerseniz deneyin kaçamayacaksınız, başaramayacaksınız. Bu şehirde uyuşturucu satamayacaksınız" dedi.
Kaynak: İHA
GÜNÜN EN ÇOK OKUNAN HABERLERİ
BAKMADAN GEÇME...
POPÜLER VİDEOLAR