Kurban kesecekler dikkat! Uzmanlar uyardı: Hayvandan insana geçebilir
Kurban kesecekler dikkat! Uzmanlar uyardı: Hayvandan insana geçebilir
Kurban Bayramı'na sayılı günler kala uzmanlardan uyarılar gelmeye devam ediyor. Ankara Beytepe Şehit Murat Erdi Eker Devlet Hastanesi'nde görevli Diyetisyen Pınar Polat, Kurban Bayramı öncesi et tüketimi ile ilgili uyarılarda bulundu. Polat, et tüketiminden önce etin bekletilmesi gerektiğini vurguladı. Göğüs Hastalıkları Uzmanı Gökhan Perincek de Kurban Bayramı’nda kesilecek hayvanlarda kist oluşumuna dikkat edilmesi gerektiğini söyledi.
Haber Giriş Tarihi: 04.06.2025 13:46
Haber Güncellenme Tarihi: 04.06.2025 13:48
Kaynak:
MyNet
Diyetisyen Pınar Polat, Kurban Bayramı öncesi et tüketimi ile ilgili uyarılarda bulunarak, "Taze kesilmiş ve dinlendirilmemiş et mide problemlerine yol açabilir. Et, en az 12 saat dinlendirilmeli" dedi.
Diyetisyen Pınar Polat, Kurban Bayramı'nda, et tüketiminden önce etin bekletilmesi gerektiğini belirterek, "Et tüketilmeden, 12 saat ile 24 saat arasında bekletilmesi gerekir. Sonrasında dinlendirilmeden pişirilen etlerde mide sindirim problemleriyle karşılaşabiliyoruz. O yüzden etin dinlendirmesi önemli ama illa erken tüketilecekse, hızlı tüketilmek isteniyorsa, çok kısık ateşte uzun süre kendi suyunda pişirilebilir, ya da marine edilebilir, marinasyon sonrasında tüketilebilir belki sindirim problemlerini azaltabilmek için.
Eti tüketirken ılımlı tüketime dikkat edilmesi gerekir. Yanında lif tüketiminin artırılması gerekir. Bir zeytinyağlı sebze yemeği ya da salatayla mutlaka renklendirmek, yanında tüketilen yiyeceklerin de mutlaka tam tahılı olması gerekir. Belki yine sindirimi rahatlatmak açısından ayran, yoğurt tüketilmesi gerekir yanında. Onun dışında da tam buğday ekmeği ya da bulgur pilavı gibi, tam tahıllı gıdalarla beraber tüketmek dengeyi sağlayacaktır" diye konuştu.
'ÇOK FAZLA MANGAL ATEŞİNE MARUZ KALMAMALI'
Polat, etin pişirilme yönteminin hem sağlık açısından hem de besin değeri açısından önemli olduğunu vurgulayarak, "O yüzden haşlama, ızgara, fırında buğulama ya da tencere yemeklerinin içinde tüketilmesini öneriyoruz. Çok fazla mangal ateşine maruz kalmamasını ya da yanan yağda çok fazla kızartılmamasını öneriyoruz; hem kanserojen olmaması açısından hem de besin değeri kaybolmaması açısından.
Etin çiğ ya da az pişirilmiş olmaması gerekir. Çünkü bazı bakterileri ve parazitleri içerebilir. Bu da çeşitli hastalıklara yol açabilir. O yüzden mutlaka etin iç sıcaklığının en az 70 derece olması gerektiğini bilmek gerekir. Ama mutlaka kısık ateşte uzun süre kendi suyunu çekecek kadar piştiğinde et zaten iç sıcaklığı 70 dereceye ulaşmış demektir. Ayrıca et, b12 ve demir zengin olduğu için c vitamininden zengin besinlerle tüketilmesi gerektiğini düşünüyorum" ifadelerini kullandı.
'TATLI TÜKETİMİNDE ILIMLI DAVRANMAK ÖNEMLİ'
Bayramda güne kahvaltı ile başlamanın önemine vurgu yapan Polat, "Yumurtanın, çok yağlı olmayan bir peynirin, zeytinin, zeytinyağının olduğu ve mutlaka mevsim yeşillikleri ya da domates, salatalık gibi söğüş sebzelerle zenginleştirmiş ve mutlaka tam tahıllı bir ekmekle beraber kahvaltı yapılmalı. Bayramda tatlının çok tüketilmemesine de dikkat etmek gerekiyor.
Tatlı tüketimde, ılımlı davranmak önemli ama tercih edilecekse mutlaka renkli çeşitli mevsim meyveleri ya da en azından sütlü tatlılara öncelik vermek daha değerli. Bayram boyunca öğünlerin ılımlı tüketilmesi, saatinde tüketilmesi, ara öğünlerin aksatılmaması önemli. Bir öğünde yığılarak ya da tıkınırcasına beslenme hiçbir zaman önerdiğimiz bir şey değil. Bu, bayram için de geçerli" dedi.
KRONİK HASTALIĞI OLANLAR DİKKAT
Beytepe Şehit Murat Erdi Eker Devlet Hastanesi İç Hastalıkları Uzmanı Uzm. Dr. Batuhan Ceylan ise hipertansiyon, kalp damar hastalığı gibi kronik rahatsızlıklara sahip olanların et tüketiminde dikkatli olmaları gerektiğini söyleyerek, "Diyabet, hipertansiyon gibi, özellikle kalp damar hastalığı gibi hastalıkları olan hastalarımız et tüketimini ılımlı bir şekilde sürdürmesi gerekmektedir. Özellikle yaşlı ve hipertansiyonu olan ve kalp damar hastalığı olan bireylerimizde 6-10 bardak kadar su tüketiminin kalp damar sağlığı açısından olumlu etkileri vardır. O yüzden su tüketimini ihmal etmemek gerekiyor. Bahsettiğimiz hasta grubu özellikle mide şikayetleri yaşayabileceğinden kurban kesiminden yaklaşık 12-24 saat kadar dinlendirilmiş etlerin kullanımı, tüketilmesi hastaların hazmını kolaylaştırır, mide şikayetlerini daha da azaltır. Çünkü reflü gibi, gastrit gibi şikayetler olabiliyor özellikle dinlendirilmeden tüketilen etlerde" açıklamasında bulundu.
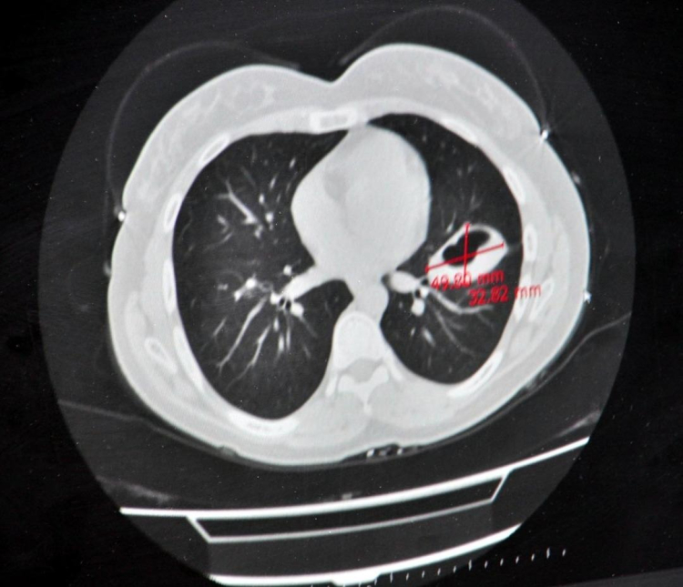
HAYVANDAN İNSANA GEÇİYOR
Kars Harakani Devlet Hastanesi Göğüs Hastalıkları Uzmanı Gökhan Perincek, Kurban Bayramı’nda kesilecek hayvanlarda kist oluşumuna dikkat edilmesi gerektiğini söyledi. Kist bulunan organların köpek ve diğer etçillerin ulaşamayacağı şekilde gömülerek imha edilmesi gerektiğini belirten Perincek, "Halk arasında köpek kisti olarak bilinen kist hidatiği, hayvandan insana geçen ve ölüme kadar götürebilen ciddi bir hastalık. Karaciğer kist hidatiği insandan insana bulaşmaz ancak, sarılıktan ölümcül alerjik reaksiyonlara kadar birçok sorunu da beraberinde getirir" dedi.
ÇÖPE ATMAYIN
Kurban Bayramı’nda kesilen hayvanların organlarının dikkatli incelenmesini tavsiye eden Türk Toraks Derneği Kars Temsilcisi ve Göğüs Hastalıkları Uzmanı Gökhan Perincek, kist hidatiğinin daha çok küçükbaşın karaciğerinde üçgen şeklinde turuncu renkli olarak görüldüğünü söyledi. Kist hidadik hastalığının hayvandan insana bulaştığını belirten Perincek, "Kurban kesiminin ardından kist hidatik görülen organ, çöp kutusuna atılmamalı, kedi, köpek gibi hayvanlara yedirilmemelidir. Bu kistleri içeren hayvan etleri ve sakatatlar, köpekler tarafından yenince parazit bağırsaklarda olgunlaşır. Parazitlerin belirli aralıklarla yumurtlayarak ana konakçı köpekler tarafından atılmasıyla enfeksiyon zinciri bir kısır döngüye dönüşür.
GÖMÜLEREK BERTARAF EDİLMELİ
Ülkemizde kist hidatiğin sorun olmasının nedenlerinden birisi de özellikle Kurban Bayramlarında yapılan kesimler sonrası kistli sakatatları gömmek yerine, köpeklere yedirmek ya da rastgele ortada bırakarak sokak köpeklerinin bu sakatatlarla beslenmelerine yol açmaktır. Çünkü kist hidatikli bir karaciğeri yiyen hayvanın daha sonra dışkısıyla dışarı atılan yumurtalar, çim gibi yerlerden de insanlara bulaşabiliyor. Onun için kist bulunduran organlar, köpeklerin ve diğer etçil hayvanların ulaşamayacağı şekilde gömülerek bertaraf edilmelidir. Özellikle Kurban Bayramlarında bu hususlara daha çok dikkat edilmelidir. Parazit mücadelesi yapılmadan serbest dolaşan köpeklerin okşanması ve sevilmesi sırasında parazit yumurtaları ellere geçebilir. Bu şekilde kirlenen ellerin yıkanmadan ağza götürülmesi ile parazitin yumurtası alınır. Bu nedenle, özellikle çocukların köpeklerle temasından sonra ellerini bol su ve sabunla yıkamaları sağlanmalıdır" dedi.
‘PARAZİT YUMURTALARI SOĞUKTA BİR YIL CANLI KALABİLİRLER’
Parazitin, köpeklerin ince bağırsaklarında yaşadığını ifade eden Perincek, hastalığın bulaşımıyla ilgili şu bilgileri verdi:
"Hastalık köpek dışkısı ile atılan yumurtalarla insana bulaşır. Köpek dışkısı ile atılan yumurtalar çok dayanıklıdır, toprakta ve soğukta bir yıl kadar canlı kalabilirler. Dışkıyla atılan yumurtalar hayvanların ayakları, arazi eğimi, rüzgar ve yağmurla yayılırlar. İnsanlar bu yumurtaları çiğ tüketilen ve iyi yıkanmamış meyve ve sebzelerden, kirli içme sularından alırlar. İnsandan başka koyun, keçi, sığır ve manda gibi otla beslenen hayvanlar da yumurtaları alarak hastalanırlar. Alınan bu yumurtalar, bağırsaklarda açılarak bağırsak duvarını geçer, kan ve lenf yoluyla öncelik sırasıyla karaciğer, akciğer ve diğer organlara yerleşerek kist formunda yaşamlarını sürdürürler.”
‘KİSTLER EN SIK KARACİĞER VE AKCİĞERLERDE GÖRÜLÜR’
Hastalığın başlarda kistin küçük olduğu dönemlerde uzun yıllar boyunca belirtisiz seyredebileceğini söyleyen Perincek, “Fakat kist büyüdükçe, bulunduğu bölgeye ve oluşturduğu basıya göre belirtiler ortaya çıkar. Kistler en sık karaciğer ve akciğerlerde görülürler. Nadiren dalak, karın zarı (periton), böbrek, kemik, göz yuvası, beyin, kalp ve yumurtalıklara da yerleşebilir. Karaciğer yerleşiminde karnın sağ üst kısmında ağrı, bulantı, kusma ve bazen kaşıntı, sarılık gibi belirti görülür. Akciğer tutulumunda solunum sıkıntısı, öksürük, ağızdan kan gelmesi ve göğüs ağrısı olabilir. Diğer organ ve sistem tutulumlarında da bu bölgelere ait tablolar ortaya çıkar. Örneğin kafa içi tutulumlarda; baş ağrısı, kusma, şuur kayıpları görülebilir. Kalp tutulumunda kalp ritim bozuklukları, enfarktüs bulguları, hatta kalp duvarında yırtılma olabilir. Kemik tutulumlarında kırıklar olabilir. Kist patladığında alerjik reaksiyonlar ortaya çıkabilir” diye konuştu.
Sizlere daha iyi hizmet sunabilmek adına sitemizde çerez konumlandırmaktayız. Kişisel verileriniz, KVKK ve GDPR
kapsamında toplanıp işlenir. Sitemizi kullanarak, çerezleri kullanmamızı kabul etmiş olacaksınız.
En son gelişmelerden anında haberdar olmak için 'İZİN VER' butonuna tıklayınız.
Kurban kesecekler dikkat! Uzmanlar uyardı: Hayvandan insana geçebilir
Kurban Bayramı'na sayılı günler kala uzmanlardan uyarılar gelmeye devam ediyor. Ankara Beytepe Şehit Murat Erdi Eker Devlet Hastanesi'nde görevli Diyetisyen Pınar Polat, Kurban Bayramı öncesi et tüketimi ile ilgili uyarılarda bulundu. Polat, et tüketiminden önce etin bekletilmesi gerektiğini vurguladı. Göğüs Hastalıkları Uzmanı Gökhan Perincek de Kurban Bayramı’nda kesilecek hayvanlarda kist oluşumuna dikkat edilmesi gerektiğini söyledi.
Diyetisyen Pınar Polat, Kurban Bayramı öncesi et tüketimi ile ilgili uyarılarda bulunarak, "Taze kesilmiş ve dinlendirilmemiş et mide problemlerine yol açabilir. Et, en az 12 saat dinlendirilmeli" dedi.
Diyetisyen Pınar Polat, Kurban Bayramı'nda, et tüketiminden önce etin bekletilmesi gerektiğini belirterek, "Et tüketilmeden, 12 saat ile 24 saat arasında bekletilmesi gerekir. Sonrasında dinlendirilmeden pişirilen etlerde mide sindirim problemleriyle karşılaşabiliyoruz. O yüzden etin dinlendirmesi önemli ama illa erken tüketilecekse, hızlı tüketilmek isteniyorsa, çok kısık ateşte uzun süre kendi suyunda pişirilebilir, ya da marine edilebilir, marinasyon sonrasında tüketilebilir belki sindirim problemlerini azaltabilmek için.
Eti tüketirken ılımlı tüketime dikkat edilmesi gerekir. Yanında lif tüketiminin artırılması gerekir. Bir zeytinyağlı sebze yemeği ya da salatayla mutlaka renklendirmek, yanında tüketilen yiyeceklerin de mutlaka tam tahılı olması gerekir. Belki yine sindirimi rahatlatmak açısından ayran, yoğurt tüketilmesi gerekir yanında. Onun dışında da tam buğday ekmeği ya da bulgur pilavı gibi, tam tahıllı gıdalarla beraber tüketmek dengeyi sağlayacaktır" diye konuştu.
'ÇOK FAZLA MANGAL ATEŞİNE MARUZ KALMAMALI'
Polat, etin pişirilme yönteminin hem sağlık açısından hem de besin değeri açısından önemli olduğunu vurgulayarak, "O yüzden haşlama, ızgara, fırında buğulama ya da tencere yemeklerinin içinde tüketilmesini öneriyoruz. Çok fazla mangal ateşine maruz kalmamasını ya da yanan yağda çok fazla kızartılmamasını öneriyoruz; hem kanserojen olmaması açısından hem de besin değeri kaybolmaması açısından.
Etin çiğ ya da az pişirilmiş olmaması gerekir. Çünkü bazı bakterileri ve parazitleri içerebilir. Bu da çeşitli hastalıklara yol açabilir. O yüzden mutlaka etin iç sıcaklığının en az 70 derece olması gerektiğini bilmek gerekir. Ama mutlaka kısık ateşte uzun süre kendi suyunu çekecek kadar piştiğinde et zaten iç sıcaklığı 70 dereceye ulaşmış demektir. Ayrıca et, b12 ve demir zengin olduğu için c vitamininden zengin besinlerle tüketilmesi gerektiğini düşünüyorum" ifadelerini kullandı.
'TATLI TÜKETİMİNDE ILIMLI DAVRANMAK ÖNEMLİ'
Bayramda güne kahvaltı ile başlamanın önemine vurgu yapan Polat, "Yumurtanın, çok yağlı olmayan bir peynirin, zeytinin, zeytinyağının olduğu ve mutlaka mevsim yeşillikleri ya da domates, salatalık gibi söğüş sebzelerle zenginleştirmiş ve mutlaka tam tahıllı bir ekmekle beraber kahvaltı yapılmalı. Bayramda tatlının çok tüketilmemesine de dikkat etmek gerekiyor.
Tatlı tüketimde, ılımlı davranmak önemli ama tercih edilecekse mutlaka renkli çeşitli mevsim meyveleri ya da en azından sütlü tatlılara öncelik vermek daha değerli. Bayram boyunca öğünlerin ılımlı tüketilmesi, saatinde tüketilmesi, ara öğünlerin aksatılmaması önemli. Bir öğünde yığılarak ya da tıkınırcasına beslenme hiçbir zaman önerdiğimiz bir şey değil. Bu, bayram için de geçerli" dedi.
KRONİK HASTALIĞI OLANLAR DİKKAT
Beytepe Şehit Murat Erdi Eker Devlet Hastanesi İç Hastalıkları Uzmanı Uzm. Dr. Batuhan Ceylan ise hipertansiyon, kalp damar hastalığı gibi kronik rahatsızlıklara sahip olanların et tüketiminde dikkatli olmaları gerektiğini söyleyerek, "Diyabet, hipertansiyon gibi, özellikle kalp damar hastalığı gibi hastalıkları olan hastalarımız et tüketimini ılımlı bir şekilde sürdürmesi gerekmektedir. Özellikle yaşlı ve hipertansiyonu olan ve kalp damar hastalığı olan bireylerimizde 6-10 bardak kadar su tüketiminin kalp damar sağlığı açısından olumlu etkileri vardır. O yüzden su tüketimini ihmal etmemek gerekiyor. Bahsettiğimiz hasta grubu özellikle mide şikayetleri yaşayabileceğinden kurban kesiminden yaklaşık 12-24 saat kadar dinlendirilmiş etlerin kullanımı, tüketilmesi hastaların hazmını kolaylaştırır, mide şikayetlerini daha da azaltır. Çünkü reflü gibi, gastrit gibi şikayetler olabiliyor özellikle dinlendirilmeden tüketilen etlerde" açıklamasında bulundu.
HAYVANDAN İNSANA GEÇİYOR
Kars Harakani Devlet Hastanesi Göğüs Hastalıkları Uzmanı Gökhan Perincek, Kurban Bayramı’nda kesilecek hayvanlarda kist oluşumuna dikkat edilmesi gerektiğini söyledi. Kist bulunan organların köpek ve diğer etçillerin ulaşamayacağı şekilde gömülerek imha edilmesi gerektiğini belirten Perincek, "Halk arasında köpek kisti olarak bilinen kist hidatiği, hayvandan insana geçen ve ölüme kadar götürebilen ciddi bir hastalık. Karaciğer kist hidatiği insandan insana bulaşmaz ancak, sarılıktan ölümcül alerjik reaksiyonlara kadar birçok sorunu da beraberinde getirir" dedi.
ÇÖPE ATMAYIN
Kurban Bayramı’nda kesilen hayvanların organlarının dikkatli incelenmesini tavsiye eden Türk Toraks Derneği Kars Temsilcisi ve Göğüs Hastalıkları Uzmanı Gökhan Perincek, kist hidatiğinin daha çok küçükbaşın karaciğerinde üçgen şeklinde turuncu renkli olarak görüldüğünü söyledi. Kist hidadik hastalığının hayvandan insana bulaştığını belirten Perincek, "Kurban kesiminin ardından kist hidatik görülen organ, çöp kutusuna atılmamalı, kedi, köpek gibi hayvanlara yedirilmemelidir. Bu kistleri içeren hayvan etleri ve sakatatlar, köpekler tarafından yenince parazit bağırsaklarda olgunlaşır. Parazitlerin belirli aralıklarla yumurtlayarak ana konakçı köpekler tarafından atılmasıyla enfeksiyon zinciri bir kısır döngüye dönüşür.
GÖMÜLEREK BERTARAF EDİLMELİ
Ülkemizde kist hidatiğin sorun olmasının nedenlerinden birisi de özellikle Kurban Bayramlarında yapılan kesimler sonrası kistli sakatatları gömmek yerine, köpeklere yedirmek ya da rastgele ortada bırakarak sokak köpeklerinin bu sakatatlarla beslenmelerine yol açmaktır. Çünkü kist hidatikli bir karaciğeri yiyen hayvanın daha sonra dışkısıyla dışarı atılan yumurtalar, çim gibi yerlerden de insanlara bulaşabiliyor. Onun için kist bulunduran organlar, köpeklerin ve diğer etçil hayvanların ulaşamayacağı şekilde gömülerek bertaraf edilmelidir. Özellikle Kurban Bayramlarında bu hususlara daha çok dikkat edilmelidir. Parazit mücadelesi yapılmadan serbest dolaşan köpeklerin okşanması ve sevilmesi sırasında parazit yumurtaları ellere geçebilir. Bu şekilde kirlenen ellerin yıkanmadan ağza götürülmesi ile parazitin yumurtası alınır. Bu nedenle, özellikle çocukların köpeklerle temasından sonra ellerini bol su ve sabunla yıkamaları sağlanmalıdır" dedi.
‘PARAZİT YUMURTALARI SOĞUKTA BİR YIL CANLI KALABİLİRLER’
Parazitin, köpeklerin ince bağırsaklarında yaşadığını ifade eden Perincek, hastalığın bulaşımıyla ilgili şu bilgileri verdi:
"Hastalık köpek dışkısı ile atılan yumurtalarla insana bulaşır. Köpek dışkısı ile atılan yumurtalar çok dayanıklıdır, toprakta ve soğukta bir yıl kadar canlı kalabilirler. Dışkıyla atılan yumurtalar hayvanların ayakları, arazi eğimi, rüzgar ve yağmurla yayılırlar. İnsanlar bu yumurtaları çiğ tüketilen ve iyi yıkanmamış meyve ve sebzelerden, kirli içme sularından alırlar. İnsandan başka koyun, keçi, sığır ve manda gibi otla beslenen hayvanlar da yumurtaları alarak hastalanırlar. Alınan bu yumurtalar, bağırsaklarda açılarak bağırsak duvarını geçer, kan ve lenf yoluyla öncelik sırasıyla karaciğer, akciğer ve diğer organlara yerleşerek kist formunda yaşamlarını sürdürürler.”
‘KİSTLER EN SIK KARACİĞER VE AKCİĞERLERDE GÖRÜLÜR’
Hastalığın başlarda kistin küçük olduğu dönemlerde uzun yıllar boyunca belirtisiz seyredebileceğini söyleyen Perincek, “Fakat kist büyüdükçe, bulunduğu bölgeye ve oluşturduğu basıya göre belirtiler ortaya çıkar. Kistler en sık karaciğer ve akciğerlerde görülürler. Nadiren dalak, karın zarı (periton), böbrek, kemik, göz yuvası, beyin, kalp ve yumurtalıklara da yerleşebilir. Karaciğer yerleşiminde karnın sağ üst kısmında ağrı, bulantı, kusma ve bazen kaşıntı, sarılık gibi belirti görülür. Akciğer tutulumunda solunum sıkıntısı, öksürük, ağızdan kan gelmesi ve göğüs ağrısı olabilir. Diğer organ ve sistem tutulumlarında da bu bölgelere ait tablolar ortaya çıkar. Örneğin kafa içi tutulumlarda; baş ağrısı, kusma, şuur kayıpları görülebilir. Kalp tutulumunda kalp ritim bozuklukları, enfarktüs bulguları, hatta kalp duvarında yırtılma olabilir. Kemik tutulumlarında kırıklar olabilir. Kist patladığında alerjik reaksiyonlar ortaya çıkabilir” diye konuştu.
Kaynak: MyNet
GÜNÜN EN ÇOK OKUNAN HABERLERİ
BAKMADAN GEÇME...
POPÜLER VİDEOLAR