Yorgun mermi 6 yıl sonra çıkarıldı! Omza giren mermi koltuk altından çıktı
Yorgun mermi 6 yıl sonra çıkarıldı! Omza giren mermi koltuk altından çıktı
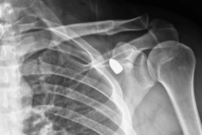
Konya’da yaşayan okul müdürü Celal Şenyiğit’in koluna 6 yıl önce yorgun mermi saplandı. Ancak merminin bulunduğu yer riskli bölge olduğu için çıkarılamadı. Aradan geçen 6 yılın ardından okul müdürünün omzundaki mermi kendiliğinden yer değiştirince operasyon imkanı doğdu.
Haber Giriş Tarihi: 12.11.2025 21:34
Haber Güncellenme Tarihi: 12.11.2025 22:35
Kaynak:
Haber Merkezi
Konya’da okul müdürü Celal Şenyiğit altı yıl önce çay ocağında otururken omzuna yorgun mermi isabet etti. Ancak yapılan muayenelerde merminin yeri nedeniyle hareket kaybı riski taşıdığı tespit edilince herhangi bir operasyon yapılmadı.
6 yıl boyunca omzundaki mermi ile yaşayan Şenyiğit, ağrı ve sertlik şikayetiyle Akşehir Devlet Hastanesine başvurdu. Yapılan muayenelerde koltuk altındaki kitlenin, omzuna saplanan yorgun mermi olduğu tespit edildi. Mermi, gerçekleştirilen operasyonla çıkarıldı. Şenyiğit, olayla ilgili şikayetçi olduğunu, çıkarılan merminin incelemeye gönderildiğini söyledi.
Sizlere daha iyi hizmet sunabilmek adına sitemizde çerez konumlandırmaktayız. Kişisel verileriniz, KVKK ve GDPR
kapsamında toplanıp işlenir. Sitemizi kullanarak, çerezleri kullanmamızı kabul etmiş olacaksınız.
En son gelişmelerden anında haberdar olmak için 'İZİN VER' butonuna tıklayınız.
Yorgun mermi 6 yıl sonra çıkarıldı! Omza giren mermi koltuk altından çıktı
Konya’da yaşayan okul müdürü Celal Şenyiğit’in koluna 6 yıl önce yorgun mermi saplandı. Ancak merminin bulunduğu yer riskli bölge olduğu için çıkarılamadı. Aradan geçen 6 yılın ardından okul müdürünün omzundaki mermi kendiliğinden yer değiştirince operasyon imkanı doğdu.
Konya’da okul müdürü Celal Şenyiğit altı yıl önce çay ocağında otururken omzuna yorgun mermi isabet etti. Ancak yapılan muayenelerde merminin yeri nedeniyle hareket kaybı riski taşıdığı tespit edilince herhangi bir operasyon yapılmadı.
6 yıl boyunca omzundaki mermi ile yaşayan Şenyiğit, ağrı ve sertlik şikayetiyle Akşehir Devlet Hastanesine başvurdu. Yapılan muayenelerde koltuk altındaki kitlenin, omzuna saplanan yorgun mermi olduğu tespit edildi. Mermi, gerçekleştirilen operasyonla çıkarıldı. Şenyiğit, olayla ilgili şikayetçi olduğunu, çıkarılan merminin incelemeye gönderildiğini söyledi.
Kaynak: Haber Merkezi
GÜNÜN EN ÇOK OKUNAN HABERLERİ
BAKMADAN GEÇME...
POPÜLER VİDEOLAR